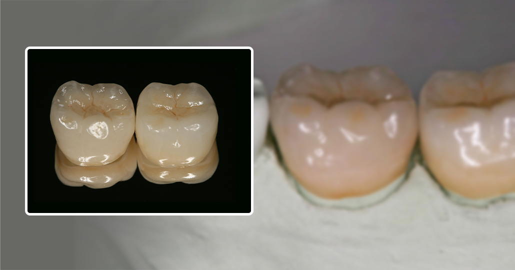
Zirconia Posterior

At EvoDent Dental Lab in Draper, UT, we have been at the forefront of dental restoration technology for over twenty years, delivering custom solutions that enhance both the functionality and appearance of your patients’ smiles. Our Zirconia posterior crowns are proof of our commitment to excellence, an ideal blend of durability, strength, and aesthetic appeal for tooth restorations.

Why Choose Zirconia Posterior Crowns from EvoDent?

  • Exceptional durability: We design our Zirconia posterior crowns to withstand the significant forces on posterior teeth, making them an excellent choice for long-lasting restorations. Zirconia is renowned for its superior strength and resistance to wear and fracture, ensuring that your patients receive a reliable solution that can endure the demands of daily use.
  • Natural aesthetic: Despite their strength, zirconia posterior crowns offer a natural look that complements the surrounding teeth. The material’s translucency closely mimics natural tooth enamel, providing a seamless and aesthetically pleasing result. This makes them an excellent choice for patients who value both function and appearance.
  • Advanced technology and precision: At EvoDent Dental Lab, we utilize the latest in CAD/CAM technology to craft our Zirconia posterior crowns. This advanced technology allows us to achieve unparalleled precision in the fit and contour of each crown, ensuring a comfortable and secure fit for your patients. We dedicate our skilled technicians to upholding the highest quality standards and delivering restorations that precisely match your specifications.
  • Tailored solutions: We understand that each patient’s needs are unique, so we offer custom Zirconia Posterior Crowns tailored to specific requirements. Whether addressing complex cases or straightforward restorations, our team is committed to providing solutions that enhance both the function and aesthetics of your patients’ smiles.

Why EvoDent?

EvoDent Dental Lab stands out for its unwavering commitment to quality and customer satisfaction. By choosing our Zirconia Posterior Crowns, you are partnering with a lab that values precision, durability, and aesthetic excellence. Our dedication lies in providing dental professionals with restorations that not only enhance their practice but also yield exceptional results for their patients.